65 YEAR OLD MALE FARMER WITH METABOLIC SYNDROME (DM, HTN, CAD-HF, CKD)
A 65-year-old male from Chityal Farmer by occupation was brought to ER with complaints of bilateral pedal edema, and shortness of breath since 15 days.
He was the first born child in family with 1 younger brother and 2 sisters.
Since childhood days he used to be very active and went to school by walking for nearly 4km.
During his 10th standard as his father passed away he stopped his studies & being the elder son he took responsibility of his family and started to work.
Married in 1980 and has three children- 2 sons and 1 daughter. He used to do farming and was living happily with his family.
His daily routine includes waking up at 5 am - goes to cattle shed & comes back at 7am - eat breakfast & goes to field at 9 to 10am - returns home at 1 to 2pm - takes rest for sometime after having lunch & again goes to field - returns home at 5 to 6 pm & sleeps at 9pm.
Since twenty years he had complaints of bilateral knee pains which were relieved by painkillers. Used NSAIDs & other ayurvedic medications.
12 years ago he felt dizzy and went to an RMP doctor where on a routine health checkup he was found to be hypertensive and was started on antihypertensives.
7 years ago his elder son expired after an electric shock at the workstation. He took a lot of time to come out of that situation and felt very stressed during that period. After that, his daughter-in-law left the home leaving her 1-year-old daughter. Since then he used to taken care of her.
6 years ago when he went to Hyderabad to his brother in law home who is a known diabetic and has a glucometer at home. Casually he also tested his GRBS which showed above 200 mg/d and so he immediately gave FBS, PPBS in the laboratory and was diagnosed with diabetes. Consulted a local physician and was started on OHA.
5 years ago he lost his mother (due to old age).
2 years back when he went to a local hospital for a routine health checkup he was told he has some kidney problem and so shifted from OHA to insulin therapy.
Inspite of many hurdles in life he was so strong and faced them.
But it all changed 1 year back in June 2022 when he had complaints of nausea, vomiting, and shortness of breath grade 2 aggravated on exertion he went to a local doctor in Nalgonda where he was told he has a kidney problem and was referred to Hyderabad for further management. There dialysis was initiated and since then he was on maintenance hemodialysis - Initially, weekly once for two months, and from September he is on dialysis weekly twice.
Since 15 days he has complaints of bilateral pedal edema extending up to the shin of the tibia, and increased shortness of breath grade 3-4 associated with orthopnea & PND.
No history of chest pain, palpitation, or syncope
No history of fever, cold, or cough
No history of decreased urine output or dysuria
No other complaints
PAST HISTORY:
Mother has hypertension and diabetes
Sister has hypertension and thyroid disorder
PERSONAL HISTORY:
Inspection:
Chest is elliptical & bilaterally symmetrical
Trachea appears to be central
Movements appear to be equal on both sides
No scars, sinuses, or visible pulsations
Apex impulse visible in 6th intercostal space, lateral to the midclavicular line
Palpation:
No local rise of temperature
No tenderness
All inspection findings are confirmed: Trachea is central, movements equal on both sides
Antero-posterior diameter of the chest: 19cm
Transverse diameter of the chest: 25cm
Chest circumference: 80 cms
Chest expansion: 1cm
Apex beat felt in 6th intercostal space,1 cm lateral to the midclavicular line
Tactile vocal fremitus: equal on both sides in all areas
Percussion:
Resonant note were heard in all areas
Auscultation:
Bilateral air entry present
Normal vesicular breath sounds were heard
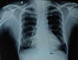
Fine crepts heard bilaterally in infra axillary & infra scapular areas
PER ABDOMEN:
Obese abdomen
Midline inverted umbilicus
No visible pulsations/engorged veins/scars/sinuses
Soft, non-tender, no organomegaly, no free fluid
Bowel sounds present
CENTRAL NERVOUS SYSTEM:
HMF - Intact R. L.
MOTOR SYSTEM: Power: UL 4/5 4/5
LL 4/5 4/5
TONE - Normal.
REFLEXES - B. T. S. K. A. P.
R. +2 +2. +1. +2. --. Flexion.
L. +2. +2. +2. +2. --. Flexion.
CRANIAL NERVES - Normal.
GAIT:
PROVISIONAL DIAGNOSIS:
Acute on Chronic LVF ? secondary to CAD
Anemia ?secondary to CKD
K/c/o CKD since 2 years on MHD since 1 year
.jpg)
.jpg)
.jpg)
.jpg)
.jpg)
.jpg)
.jpg)





.jpg)
.jpg)
.jpg)

.jpg)
.jpg)

.jpg)
.jpg)
.jpg)


.png)
.jpg)
.jpg)
.jpg)
.jpg)
.jpg)
.jpg)
.jpg)
.jpg)
.jpg)
.jpg)
.jpg)
.png)
Comments
Post a Comment